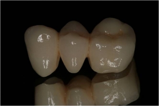
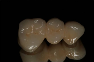
Vollkeramik - Zirkoniumoxid e.max

Hochfestes Zirkoniumoxid (ZrO2) ist ideal geeignet für z.B. weitspannige Brücken im Seitenzahnbereich.

IPS e.max Zirkoniumoxid ist eine der leistungsfähigsten Vollkeramiken. Das Material verfügt über eine geringe Wärmeleitfähigkeit und zeichnet sich u. a. durch eine sehr gute Biokompatibilität aus.

Indikationen für IPS e.max Zirkoniumoxid:

  • weitspannige Brückengerüste
  • Implantatsuprakonstruktion
  • Primärteile für die Teleskoptechnik
  • Kronenkappen

Die Vorteile dieses System sind:

  • Hohe Stabilität vor allem im Prämolarenbrücken
  • Hervorragende Biokompatibilität und minimale Wärmeleitfähigkeit
  • ästhetisch ansprechender Farbübergang bei Implantansversorgungen